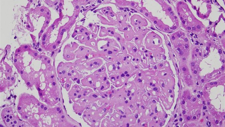
Idiopathic Membranous Nephropathy ; occurs when the tiny blood vessels in the kidneys (glomeruli) that filter waste from the blood become damaged and thickened.
Idiopathic Membranous Nephropathy ; occurs when the tiny blood vessels in the kidneys (glomeruli) that filter waste from the blood become damaged and thickened.
Idiopathic Membranous Nephropathy Treatment Market

Acute and chronic kidney failure, weight gain, poor appetite, high cholesterol, and leg swelling are among the Idiopathic Membranous Nephropathy Treatment Market comes in two varieties: primary and secondary. Secondary membranous nephropathy develops as a result of illnesses including hepatitis B, hepatitis C, syphilis, internalisation of drugs like NSAIDs, and primary membranous nephropathy as a result of the body's antibodies attacking healthy cells.

 

 

Read More @ https://www.themarketfeeds.com/690-idiopathic-membranous-nephropathy-treatment-occurs-when-the-small-blood-vessels-in-the-kidney-glomeruli-which-filter-wastes-from-the-blood-become-damaged-and-thickened

Comments

https://www.businessinmyarea.com/assets/images/user-avatar-s.jpg

0 comment

Write the first comment for this!