Ultrasound Can Be Used To Estimate Blood Flow Through Blood Vessels Through Doppler Ultrasound
Ultrasound Can Be Used To Estimate Blood Flow Through Blood Vessels Through Doppler Ultrasound
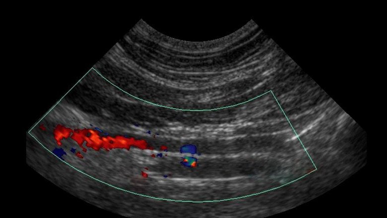
Doppler Ultrasound

Doppler Ultrasound often don't need any prior preparation. If you smoke, you may need to cut back for a few hours before your test since smoking causes your blood vessels to constrict. Your test results might be impacted by this. You won't be subjected to any dangerous radiation during this painless, risk-free process. It's probable that you won't experience much pain. Remove any items, jewelry, and clothes from the study space. You'll be told to lie down on the exam table by the technologist or radiologist, after which a water-soluble gel will be applied to a transducer, a handheld Doppler Ultrasound used for imaging. High-frequency sound waves are sent from the transducer to the arteries or veins under investigation.

To compare the blood pressure in various sections of your limbs, blood pressure cuffs may be placed on several portions of your body (calf, thigh, ankle, and arm). The transducer glides down your arm or leg and rubs against your skin, transmitting sound waves through your tissues and blood vessels before returning to the computer where they are recorded and transformed into a graph or image. The blood moving through your veins and arteries is seen in a picture that appears on a display. You can hear a wooshing sound when blood flow is identified.

 

 

Read More- https://cmiblogdailydose.blogspot.com/2023/03/doppler-ultrasound-is-noninvasive-test.html

Comments

https://www.businessinmyarea.com/assets/images/user-avatar-s.jpg

0 comment

Write the first comment for this!