A Doppler Ultrasound Can Be Used To Assess Blood Flow In An Area
A Doppler Ultrasound Can Be Used To Assess Blood Flow In An Area
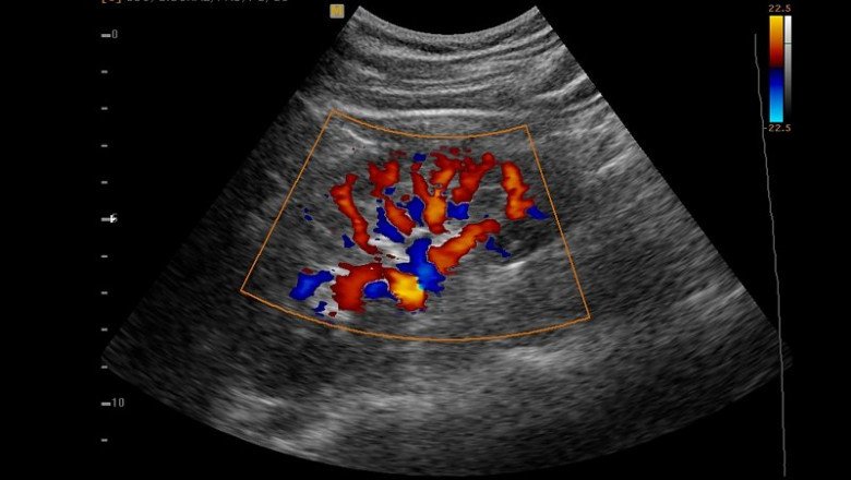
Doppler Ultrasound

A Doppler Ultrasound is a test that measures the quantity of blood flow through your arteries and veins, often those that provide blood to your arms and legs. It uses high-frequency sound waves. Blood flow tests, sometimes referred to as vascular flow studies, are able to identify aberrant blood flow within an artery or blood vessel. Blood clots and impaired circulation are just two diseases that can be diagnosed and treated with this. A blood flow study may involve the use of a Doppler ultrasonography.

A Doppler Ultrasound is a quick, painless, and minimally invasive technique. The test gives your doctor crucial knowledge about the blood flow through your principal arteries and veins. Also, it can show places in the arteries that have restricted blood flow or are obstructed, which could eventually result in a stroke.

 

Read More- http://latestcmiblogs.weebly.com/article/doppler-ultrasound-is-a-powerful-medical-imaging-technique-that-is-widely-used-to-evaluate-the-flow-of-blood-in-the-body

Comments

https://www.businessinmyarea.com/assets/images/user-avatar-s.jpg

0 comment

Write the first comment for this!